连日来,新型冠状病毒感染的肺炎疫情肆虐。在这场没有硝烟的战斗中,我国各地高校的医务工作者纷纷驰援武汉,与许许多多我们不知道名字的医务工作者一起冲在战“疫”一线,他们用自己的平凡之躯,为身后的亿万中国人民筑起防护的壁垒。与此同时,还有很多高校的科研人员分秒必争,致力于技术攻关,为临床救治及疫情防控提供支撑。
厦门大学
一键快检新型冠状病毒

厦门大学生命科学学院教师党员、厦门大学分子诊断教育部工程研究中心主任李庆阁教授响应中央号召,勇挑重担、敢于担当,带领团队联合学院张永有教授一同全身心投入到抗击疫情的攻关任务中。截止目前,已突击研制成功新型冠状病毒RNA假病毒标准品、病毒裂解和病毒核酸保存管以及病毒核酸提取试剂盒。上述三种产品均为新型冠状病毒检测的必备物资,而目前临床上非常紧缺。为支援疫情防控,李庆阁教授联合厦门致善生物科技股份有限公司扩大生产,并于1月30日开始向相关疾控中心和医疗机构捐赠RNA假病毒标准品与病毒裂解和病毒核酸保存管,首批分别为10000支和20000支。
特别需要指出的是,与致善公司联合研制的新型冠状病毒(2019-nCoV)现场检测一体机也已完成内部测试,即将开展临床评估,并启动注册报批工作。该型仪器可用于新型冠状病毒的现场检测,无需严格实验室条件,无需专门培训,仅需一步加样,仪器可自动完成检测并出具报告。上述研究成果将提供从样本采集到储存运输再到自动化提取和检测的全流程解决方案,一旦投入临床使用,可大大缓解目前临床样本储运难、病毒RNA提取试剂紧缺、传统PCR检测试剂操作繁琐、对人员和环境要求高等一系列困难局面。
天津大学
1小时高灵敏检测新型冠状病毒

针对新型冠状病毒潜伏期较长,且在潜伏期也具有传染性,目前急需高灵敏度检测试剂盒的状况,天津大学团队联合金麦格生物技术有限公司研发团队经过多昼夜的艰苦攻关,成功研发出新型冠状病毒检测试剂盒。该试剂盒可以针对新冠病毒疑似病例在更早的病毒潜伏期介入检测,且可在1小时内检测是否为新型冠状病毒,大大缩短了检测时间。
据悉,该检测试剂盒利用已知新型冠状病毒基因组中高度保守序列设计的特异性引物,避免了其他同源较高的冠状病毒的影响,保证检测的特异性和准确性。目前,该试剂盒正在加紧临床验证。试剂盒在获得相关部门检验审批后,将助力于各级疾控部门及医疗机构,用于疫情的快速识别、鉴定及时采取有效的防控措施。
与此同时,该检测试剂盒配合该公司自动化核酸提取仪,核酸提取试剂及磁珠等耗材为新冠病毒的快速检测提供一条龙的解决方案,避免了多企业不同仪器试剂及检测试剂盒的匹配差异给病毒核酸检验带来的干扰,提高了核酸检测确诊的精准性。
另悉,天津大学团队正与该企业深化合作,开发更具挑战的快速检测技术,如针对粪便样本,以及针对无症状的潜伏期感染者快速筛查等。
福州大学
自主研发出新型冠状病毒检测试剂盒

福州大学生物科学与工程学院已自主研发出新型冠状病毒检测试剂盒,与泰普生物科学(中国)有限公司合作量产。目前,该产品筹备批量生产,通过快速通道申报“国家第三类医疗器械证书”,首批产品将捐赠医院及疾控部门。
2019年12月底,福州大学生物科学与工程学院林峻博士团队已经在关注并介入相关课题研究。2020年1月13日之前,该研发团队已经完成该病毒快速检测技术体系的开发。福州大学亦是国内外首批完成该工作的机构之一。
研发团队称,此次研发的试剂盒符合国家卫健委疾病预防控制局最新发布的《新型冠状病毒感染的肺炎实验室检测技术指南》,对病毒的多重靶点进行检测,拒绝漏检,灵敏度高,一步法操作,耗时短,步骤简便,并具备严格的质量控制。据福州大学介绍,首批产品将以捐赠的形式于近日派发到相关医院和疾病控制部门。
香港大学
新型病毒正逐渐被揭开面纱
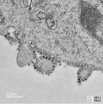
据香港《东方日报》2月1日报道称,香港大学病理学系临床医学教授黎国思(JohnNicholls)与香港大学医学院公共卫生学院教授潘烈文和裴伟士(MalikPeiris)通过培养受感染细胞,观察新型冠状病毒的生长过程。

▲香港大学电子显微镜图像显示了在细胞中生长的新型冠状病毒。
新型冠状病毒的薄片电子显微图像显示,病毒粒子从受感染细胞的表面释放出来。
黎国思表示,每个受感染的细胞会衍生出数以千计的病毒粒子,从而继续感染新细胞。
研究人员还研究了病毒在不同生长时间的样本,以便更清楚地了解病毒的复制过程,并与其他冠状病毒进行了比较。
据彭博社介绍称,黎国思是分离和鉴定SARS病毒的香港小组成员之一。黎国思表示,愿与世界范围内还未获得新型冠状病毒毒株的研究人员共享有关信息。

▲新型冠状病毒武汉株01照片来源:国家病原微生物资源库(中国疾病预防控制中心病毒病预防控制所)
中国药科大学
筛选发现多种药物或对新型冠状病毒有效

自疫情爆发以来,中国药科大学紧急组织多个研究团队进行技术攻关,开展了抗新型冠状病毒(2019-nCoV)潜在药物的筛选研究工作,努力为一线防控治疗提供重要科技支撑。药物科学研究院副研究员余文颖团队一改“基于靶点找药”的传统研究思路,创新筛选方式,即以现有的X-RAY单晶衍射证明的有活性的SARS抑制剂为模板,采用基于配体的药物设计方法,在所有上市药物里进行药物筛选,迅速发现了多种可能对新型冠状病毒有效的药物,具有潜在临床应用价值。
通过具体分析,余文颖团队找到了1个广谱抗病毒药物和3个抗HIV蛋白酶抑制剂、1个ACE抑制剂类的抗高血压药物、1个治疗肺结核的抗菌药和10个广谱抗菌药物等。这些药物单独或者联用组合,可为新型冠状病毒感染肺炎患者临床治疗提供参考。此次筛选获得的药物里还包含了一个常用的保健药品--叶酸。余文颖团队表示,服用叶酸是否能够起到一定的预防作用还有待进一步验证。他们后续将继续深入开展针对性的抗新型冠状病毒的药物活性测试,以期为临床研究和治疗提供更为有力的指导。
此外,清华大学药学院和GHDDI免费开放药物研发资源助力攻克新冠病毒,浙江大学防治新型冠状病毒肺炎应急科研项目面向全国高校科研工作者开放申请。
本文综合自厦门大学新闻网、天津大学微信公众号、中国药科大学新闻网、中国新闻网
① 凡本站注明“稿件来源:教育在线”的所有文字、图片和音视频稿件,版权均属本网所有,任何媒体、网站或个人未经本网协议授权不得转载、链接、转贴或以其他方式复制发表。已经本站协议授权的媒体、网站,在下载使用时必须注明“稿件来源:教育在线”,违者本站将依法追究责任。
② 本站注明稿件来源为其他媒体的文/图等稿件均为转载稿,本站转载出于非商业性的教育和科研之目的,并不意味着赞同其观点或证实其内容的真实性。如转载稿涉及版权等问题,请作者在两周内速来电或来函联系。




教育在线

